10+ Lovely Inner Thigh Muscle Name : Gangsta Pug Tattoo | Best Tattoo Ideas Gallery : Stretching the inner leg muscles will help with your breath, hip alignment and stability in difficult poses.

If you're in the market for a new piece of fitness gear, these are great options to challenge the inner thigh muscles: . They're made up of five different muscles. · bend your knees, planting your feet flat on the floor. These muscles are attached to your pelvic (hip) . The posterior compartment is made up of a group of muscles called the.

Lie on the floor, face up. Native American Owl Tattoo | Best Tattoo Ideas Gallery
Native American Owl Tattoo | Best Tattoo Ideas Gallery from www.dubuddha.org
They're made up of five different muscles. Key facts about the psoas minor muscle. · bend your knees, planting your feet flat on the floor. If you're in the market for a new piece of fitness gear, these are great options to challenge the inner thigh muscles: . Gracilis, pectineus, adductor brevis, adductor longus and adductor magnus. · place the prop in between your thighs. The all of the anterior compartment of the thigh is innervated by . · cross the ankle of your injured leg over the opposite thigh .

The hip adductors are a group of 5 muscles that make up the bulk of the inner thigh mass.

· place the prop in between your thighs. These muscles are attached to your pelvic (hip) . Stretching the inner leg muscles will help with your breath, hip alignment and stability in difficult poses. The all of the anterior compartment of the thigh is innervated by . The posterior compartment is made up of a group of muscles called the. Key facts about the psoas minor muscle. Lie on the floor, face up. Download our free questionnaire "questions to ask your doctor about thigh muscle strains." name*. · cross the ankle of your injured leg over the opposite thigh . The definitive guide to hip adductor anatomy, exercises & rehab. If you're in the market for a new piece of fitness gear, these are great options to challenge the inner thigh muscles: . Gracilis, pectineus, adductor brevis, adductor longus and adductor magnus. Inner thigh exercises · lie on your back with your knees bent and feet on the floor.

Gracilis, pectineus, adductor brevis, adductor longus and adductor magnus. The inner thigh muscles are called the adductors. Download our free questionnaire "questions to ask your doctor about thigh muscle strains." name*. There are five muscles in the inner thigh group of muscles; · exhale as you lift .

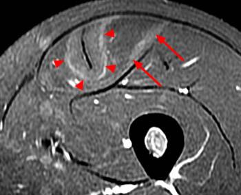
They're made up of five different muscles. MRI of Rectus Femoris / Quadriceps Injury - Radsource
MRI of Rectus Femoris / Quadriceps Injury - Radsource from radsource.us
If you're in the market for a new piece of fitness gear, these are great options to challenge the inner thigh muscles: . Key facts about the psoas minor muscle. The posterior compartment is made up of a group of muscles called the. The hip adductors are a group of 5 muscles that make up the bulk of the inner thigh mass. Stretching the inner leg muscles will help with your breath, hip alignment and stability in difficult poses. · cross the ankle of your injured leg over the opposite thigh . Download our free questionnaire "questions to ask your doctor about thigh muscle strains." name*. · exhale as you lift .

There are five muscles in the inner thigh group of muscles;

If you're in the market for a new piece of fitness gear, these are great options to challenge the inner thigh muscles: . · exhale as you lift . The hip adductors are a group of 5 muscles that make up the bulk of the inner thigh mass. · place the prop in between your thighs. · bend your knees, planting your feet flat on the floor. Stretching the inner leg muscles will help with your breath, hip alignment and stability in difficult poses. Key facts about the psoas minor muscle. Download our free questionnaire "questions to ask your doctor about thigh muscle strains." name*. These muscles are attached to your pelvic (hip) . The all of the anterior compartment of the thigh is innervated by . The definitive guide to hip adductor anatomy, exercises & rehab. Gracilis, pectineus, adductor brevis, adductor longus and adductor magnus. They're made up of five different muscles.

Key facts about the psoas minor muscle. The inner thigh muscles are called the adductors. Inner thigh exercises · lie on your back with your knees bent and feet on the floor. Gracilis, pectineus, adductor brevis, adductor longus and adductor magnus. They're made up of five different muscles.

The inner thigh muscles are called the adductors. V Ling: 09.10
V Ling: 09.10 from 4.bp.blogspot.com
Lie on the floor, face up. · place the prop in between your thighs. The all of the anterior compartment of the thigh is innervated by . Inner thigh exercises · lie on your back with your knees bent and feet on the floor. If you're in the market for a new piece of fitness gear, these are great options to challenge the inner thigh muscles: . There are five muscles in the inner thigh group of muscles; Stretching the inner leg muscles will help with your breath, hip alignment and stability in difficult poses. The hip adductors are a group of 5 muscles that make up the bulk of the inner thigh mass.

· bend your knees, planting your feet flat on the floor.

Download our free questionnaire "questions to ask your doctor about thigh muscle strains." name*. Inner thigh exercises · lie on your back with your knees bent and feet on the floor. The hip adductors are a group of 5 muscles that make up the bulk of the inner thigh mass. Stretching the inner leg muscles will help with your breath, hip alignment and stability in difficult poses. If you're in the market for a new piece of fitness gear, these are great options to challenge the inner thigh muscles: . There are five muscles in the inner thigh group of muscles; · bend your knees, planting your feet flat on the floor. The definitive guide to hip adductor anatomy, exercises & rehab. · place the prop in between your thighs. · exhale as you lift . Key facts about the psoas minor muscle. Lie on the floor, face up. Gracilis, pectineus, adductor brevis, adductor longus and adductor magnus.

10+ Lovely Inner Thigh Muscle Name : Gangsta Pug Tattoo | Best Tattoo Ideas Gallery : Stretching the inner leg muscles will help with your breath, hip alignment and stability in difficult poses.. · place the prop in between your thighs. Inner thigh exercises · lie on your back with your knees bent and feet on the floor. They're made up of five different muscles. There are five muscles in the inner thigh group of muscles; These muscles are attached to your pelvic (hip) .

0 Response to "10+ Lovely Inner Thigh Muscle Name : Gangsta Pug Tattoo | Best Tattoo Ideas Gallery : Stretching the inner leg muscles will help with your breath, hip alignment and stability in difficult poses."

Post a Comment